51健康网欢迎您,祝您一生健康!
首页 / 中老年健康 / 文章详情

牙龈炎吃什么药

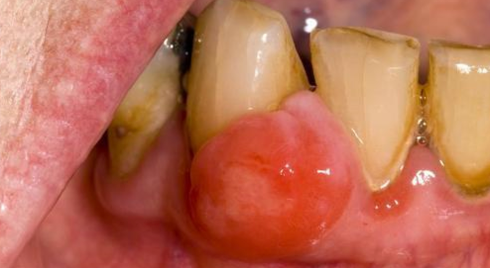
牙龈红肿出血,刷牙时满嘴血腥味?这是牙龈炎的典型信号。单纯问“吃什么药”往往治标不治本,急性期可短期用药控制炎症,但彻底缓解需配合专业洁牙与日常护理。

image.png

急性期用药:消炎止痛是首选

当牙龈充血肿胀明显,甚至伴有轻微疼痛时,临床常建议短期使用抗菌药物辅助治疗。甲硝唑替硝唑是针对厌氧菌感染的常用药,对牙龈深处的细菌有较强抑制作用;若伴随全身发热或淋巴结肿大,医生可能会开具阿莫西林等广谱抗生素。请注意,抗生素绝非“补品”,务必遵医嘱按疗程服用,切勿自行长期滥用,以免产生耐药性。

除了口服药,局部用药往往更安全直接。使用含氯己定成分的漱口水,每天含漱两次,能有效减少口腔菌斑堆积。对于疼痛剧烈的患者,碘甘油局部涂抹患处,也能起到收敛消肿、缓解不适的作用。这些方法主要针对牙龈炎急性发作症状,目的是快速压制炎症蔓延。

中医辨证:清胃火与滋肾阴

在中医视角下,牙龈问题多与“火”有关,但火分虚实,乱吃清热药可能适得其反。若是胃火炽盛型,表现为牙龈红肿剧痛、口臭严重、便秘喜冷饮,可选用牛黄清胃丸或黄连上清片,以此清泻胃火。这类患者舌苔通常黄厚,脉象滑数。

若是肾阴亏损型,多见于中老年人或熬夜族,症状为牙龈隐隐作痛、牙齿松动、午后潮热,此时再吃强力消炎药反而伤身。应选用知柏地黄丸等滋阴降火的方剂,通过调理脏腑功能来改善慢性牙龈出血。中医讲究辨证施治,拿不准体质时,千万别盲目跟风买药。

根治关键:药物无法替代洗牙

必须认清一个事实:任何药物都无法去除已经钙化的牙结石。牙结石表面粗糙,是细菌的“堡垒”,药物只能暂时杀灭表层细菌,一旦停药,结石下的病菌会迅速繁殖,导致牙龈炎反复发作。因此,超声波洁治(洗牙)才是治疗牙龈炎的金标准。

  • 清除牙颈部及龈沟内的牙石和菌斑,切断病源。
  • 平整根面,利于牙龈组织重新贴合牙齿。
  • 预防牙周袋形成,避免发展为不可逆的牙周炎。

建议在炎症控制后,尽快前往正规口腔科进行全口洁治。日常刷牙请采用巴氏刷牙法,重点清洁牙龈沟,并配合使用牙线清理邻面缝隙。若用药 3 天症状无缓解,或出现牙龈溢脓、牙齿明显松动,请立即就医,以免延误病情。            

发布于